
A Brief Colonial History Of Ceylon(SriLanka)
Sri Lanka: One Island Two Nations
A Brief Colonial History Of Ceylon(SriLanka)
Sri Lanka: One Island Two Nations
(Full Story)
Search This Blog
Back to 500BC.
==========================
Thiranjala Weerasinghe sj.- One Island Two Nations
?????????????????????????????????????????????????Sunday, October 30, 2016
Vet has animal tuberculosis scare

JONATHAN CRANSTONE
"If this is it, what am I going to do with my remaining few months?"
wondered vet Jonathan Cranston while lying in a hospital bed.
He's one of more than 100,000 people who catch tuberculosis from animals
each year - an issue the World Health Organization says has been ignored for decades.
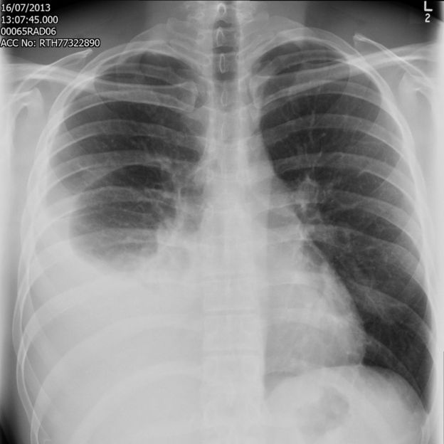
The brutal infection led to him losing nearly 7.5kg in weight as it settled in his chest.
Jonathan was testing stress levels in wildebeest near Kruger National
Park in South Africa in 2013 when he thinks he was infected.
"Six weeks later [back in the UK] I remember waking up in the middle of
the night and struggling for breath with acute chest pain, then I had
horrendous night sweats - literally my pyjamas and bed were drenched.
"As a vet, looking back in hindsight, I should have realised what was
happening, but I'd just got a new mattress and I thought 'this isn't
breathing'."
He described himself as fairly fit before the bacterial infection, but even walking the dog up a short hill became a struggle.
He was given a course of antibiotics after a GP said he probably had pneumonia.
Yet Jonathan developed a really bad fever and one morning while swimming
he could manage only two lengths before struggling and having to drag
himself out of the pool.
At a hospital appointment for an ultrasound, doctors refused to let him leave.
"My right lung was virtually non-existent - they drained 2.5 litres of
fluid from my right pleural space [the area around the lungs]," Jonathan
said.

JONATHAN CRANSTONE
He added: "I knew there was something serious going on and I started to plan my last few months.
"I started putting together places I wanted to go, I love travelling to see animals.
"I was 32 at the time, I'd had a pretty fun life and was hoping it was going to be longer!"
While he was in hospital he encountered one of the great challenges with animal TB - it is often confused with human TB.
Despite the symptoms looking similar, the diseases are caused by different bacteria. Animal TB is caused by Mycobacterium bovis while human TB is caused by Mycobacterium tuberculosis.
The Cheltenham-based vet added: "I was pretty convinced it was animal
TB, but the consultant said he was not convinced - it was three months
later that they realised it was bovine TB.
"With all due respect they didn't have a clue about it and they didn't
really know what to do with me. They just went though the standard
protocol for TB."
Animal or zoonotic TB can be more serious and harder to treat than conventional, human tuberculosis.
It is inherently resistant to one of the key drugs used to treat human
TB, so using the wrong combination of antibiotics risks the infection
developing resistance to the drugs that do work.
Jonathan was eventually given the all-clear in November 2014.
Be he warns: "There needs to be a greater awareness about zoonotic TB.
It is getting momentum and that is a great thing, so more research is
done and it can be diagnosed and treated more quickly."
How to tackle animal tuberculosis is one of the themes of the Union World Conference on Lung Health taking place this week.

